入れ歯で“噛める”を取り戻す “噛める”は、人生を変える。
たつの市・新宮町で、あなたの未来の健康を守ります。
scroll
重要なお知らせ
現在、診療時間が大変混み合っており、予約時間通りにご案内できない場合が増えております。
スムーズなご案内に努めておりますが、状況によりお待ちいただく可能性がございます。
恐れ入りますが、お時間に余裕をもってご来院いただきますようお願いいたします。
たつの市で歯科医院をお探しの方へ
“歯科医院が確実に足りなくなる” 未来を見据えて
たつの市新宮町では、
人口13,000人に対し
歯科医院はわずか2院
過疎化が進み、
歯科医院が減り続けるたつの市新宮町。
「かかりつけ歯科医院」を持てないまま
困る人をつくらないために。
診て欲しい時に
診てもらえない未来は
すぐそこまで来ていると
考えています。
だからこそ、トラブルを回避するために
歯に関する正しい知識を、
皆様お一人おひとりが
持つべきではないでしょうか。
concept
セルフケア
指導
メンテナンス
習慣化
再治療を
最小化
当院では
“ご紹介患者さんを
中心に少数精鋭で診る”
体制を守っています。
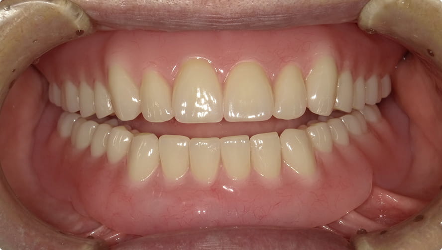
何度も入れ歯を作り直している方へ
入れ歯で”噛める”を取り戻す
このような心当たりはありませんか?
- しっかり噛めない
- 入れ歯が外れやすい
- 入れ歯を作ってから調整をしていない
- 入れ歯の奥歯の溝がなくなっている
- 入れ歯と歯茎のあ間にすき間がある
西播磨で唯一の補綴専門医が
しっかり診査診断を行います
噛みにくくなってきたな、と思ったら
入れ歯の製作期間は1ヶ月程度かかります。
入れ歯のご相談はお早めにご来院ください
食べづらい、飲み込みにくい
それは口腔機能低下症かもしれません
7種の検査で口腔機能低下症を精査し ”隠れた原因”を調べます
口腔機能低下症とは?
口腔機能低下症とは、噛む・飲み込む・話すといった口の働きが加齢や筋力低下、むし歯・歯周病、合わない入れ歯などによって全体的に衰えた状態を指します。食事が遅くなる、飲み物でむせる、滑舌が悪くなる等が初期サインで、放置すると栄養障害や誤嚥性肺炎、フレイル(全身の筋肉の虚弱)・認知症のリスクが高まります。
当院では指定された7種の検査を実施し、数値で現状を可視化し、口腔リハビリと補綴治療で機能回復を図ります。定期メンテナンスで口腔機能の再低下を予防し、豊かな食生活を支えます。
当院の医療物販について
当院の歯科衛生士と選ぶ 毎日のセルフケアパートナー
どれだけ丁寧に歯を磨いていても、その歯ブラシや歯磨き粉がご自身のお口に合っていなければ、思うような効果は得られません。当院では、患者さま一人ひとりの歯並びや歯ぐきの状態、清掃のクセなどを歯科衛生士が丁寧に確認し、最適なセルフケアグッズをご提案しています。
毎日のブラッシングは、年間にして365回行う“治療”の一環です。だからこそ、正しく道具を選ぶことが、再治療を防ぐ第一歩になると考えています。ご希望の方には、使用中のセルフケアグッズ(歯ブラシや歯磨剤)の見直しや、お口の状態に合わせた使い方の指導も行っています。
当院で取り扱っている
歯ブラシ等のセルフケアグッズは
すべて当院の歯科衛生士が実際に自分で使用し
「患者さんに是非使っていただきたい!」と
思ったものだけを取り扱っております。
医院情報
- 医院名
- 長谷歯科医院
- 院長名
- 長谷英明
- 受付時間
- 8:30-11:30 / 14:30-17:30
- 住所
- 〒679-4313 兵庫県たつの市新宮町新宮397−1
- 電話番号
- 0791-75-3771